SMILE TRANSFORMATIONS
Beautiful Smile Transformations in Fairfax, Virginia
Why choose Fair Lakes Family and Cosmetic Dentistry? The results speak for themselves! We used the latest advancements in dental technology to help patients get the smile they deserve in a comfortable, welcoming environment. Explore some of our beautiful Fair Lakes transformations in the smile gallery below.

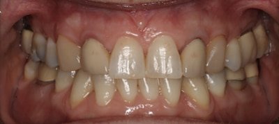
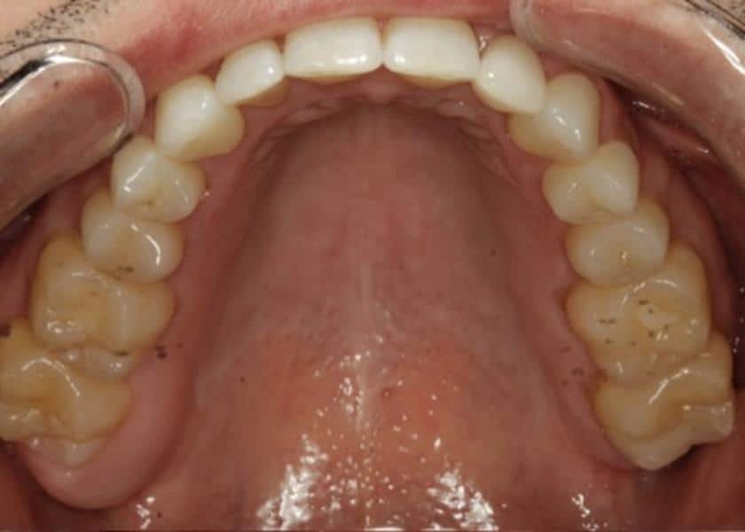
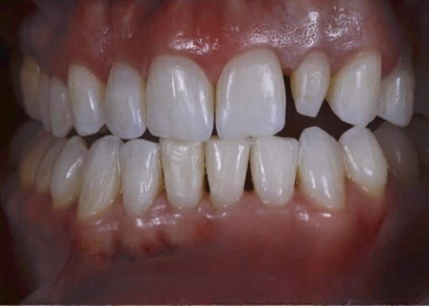
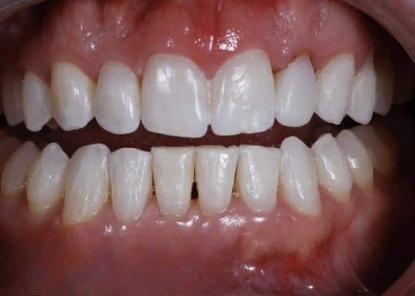
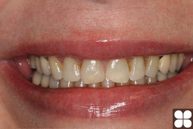
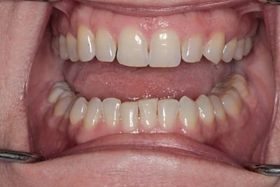
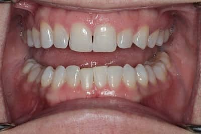
David’s Smile Journey



Patient Success Stories


“I finished this case with Invisalign® then a composite veneer and bonding to mask the gray tooth and close the space. My patient loves his new smile and I met MY personal deadline of finishing before he got married. He proposed to his girlfriend a few weeks after I finished. It’s not all about the teeth. It’s about the stories that we create with the smile!” ~ Dr. Tran


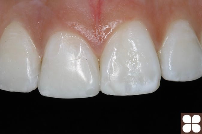
“My 20 year old patient, Alexis, came in cause she fell walking to class and chipped her tooth. She went to another dentist that recommended a crown. We decided on a more conservative restoration, just doing a composite veneer. She has a lifetime to get a crown. If we can delay it as soon as possible that is the best thing for her!”


“My patient, Amy, came in for an overall smile enhancement, so we decided that porcelain veneers was the best option to give her a white, bright and healthy looking smile. Not only are porcelain veneers quick, easy and produce natural-looking results, but they are durable and a great long-lasting solution. ” ~ Dr. Tran


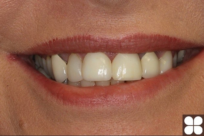
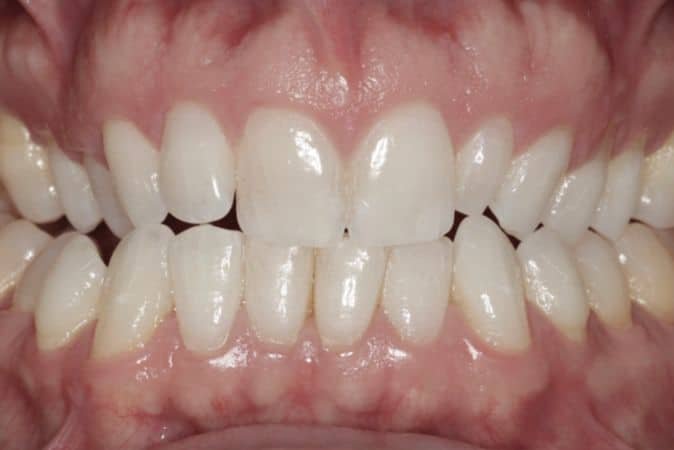
Bryan’s Smile Story
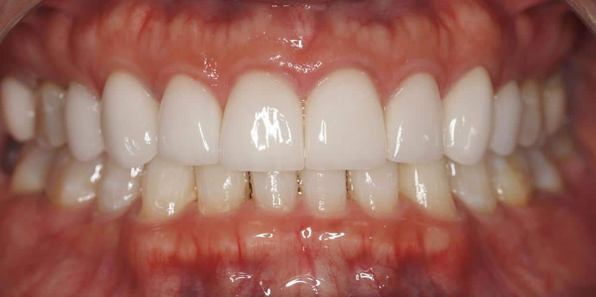
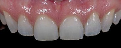
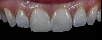
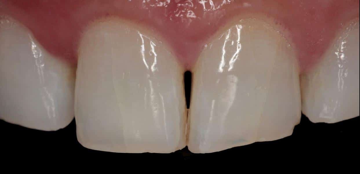
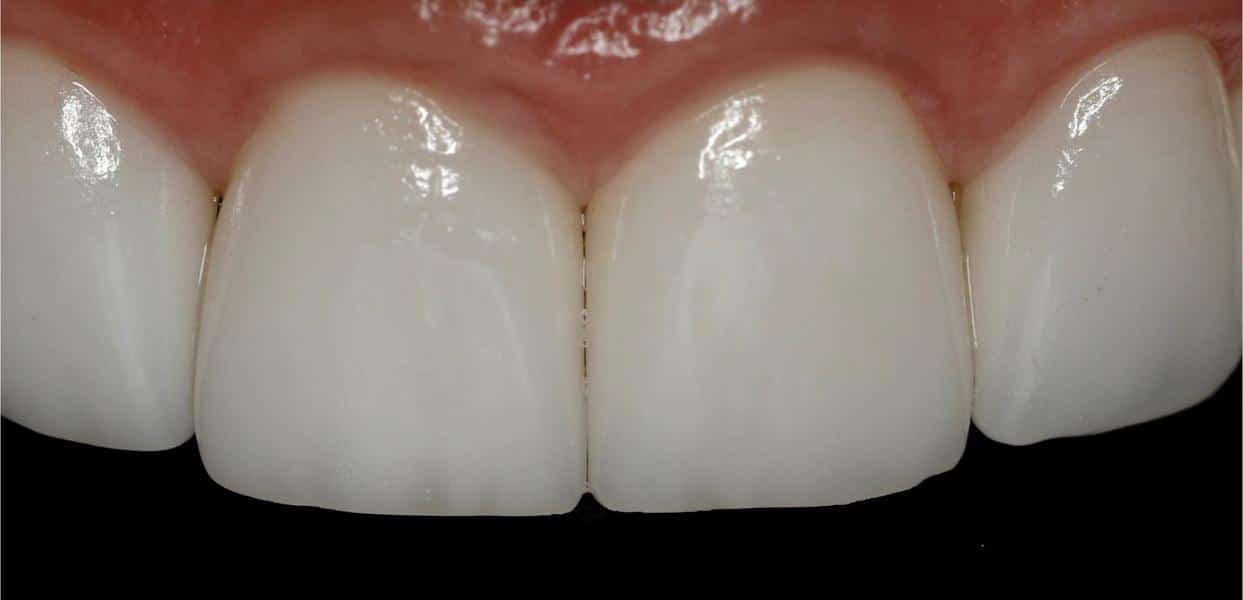
Bryan was on a business trip to our area from Chicago when he had a front tooth emergency! We used the gray balance reference card system to shade match his front tooth. It incorporates advanced photography with a polarized filter to help us shade match without having to send the patient to the lab for a custom shade appointment. By eliminating our patient’s visit to the lab we can limit their exposure to others during the pandemic and save them time.






























KoR WHITENING SMILE TRANSFORMATIONS
Learn more about KoR Whitening at Fair Lakes Family & Cosmetic Dentistry here.




